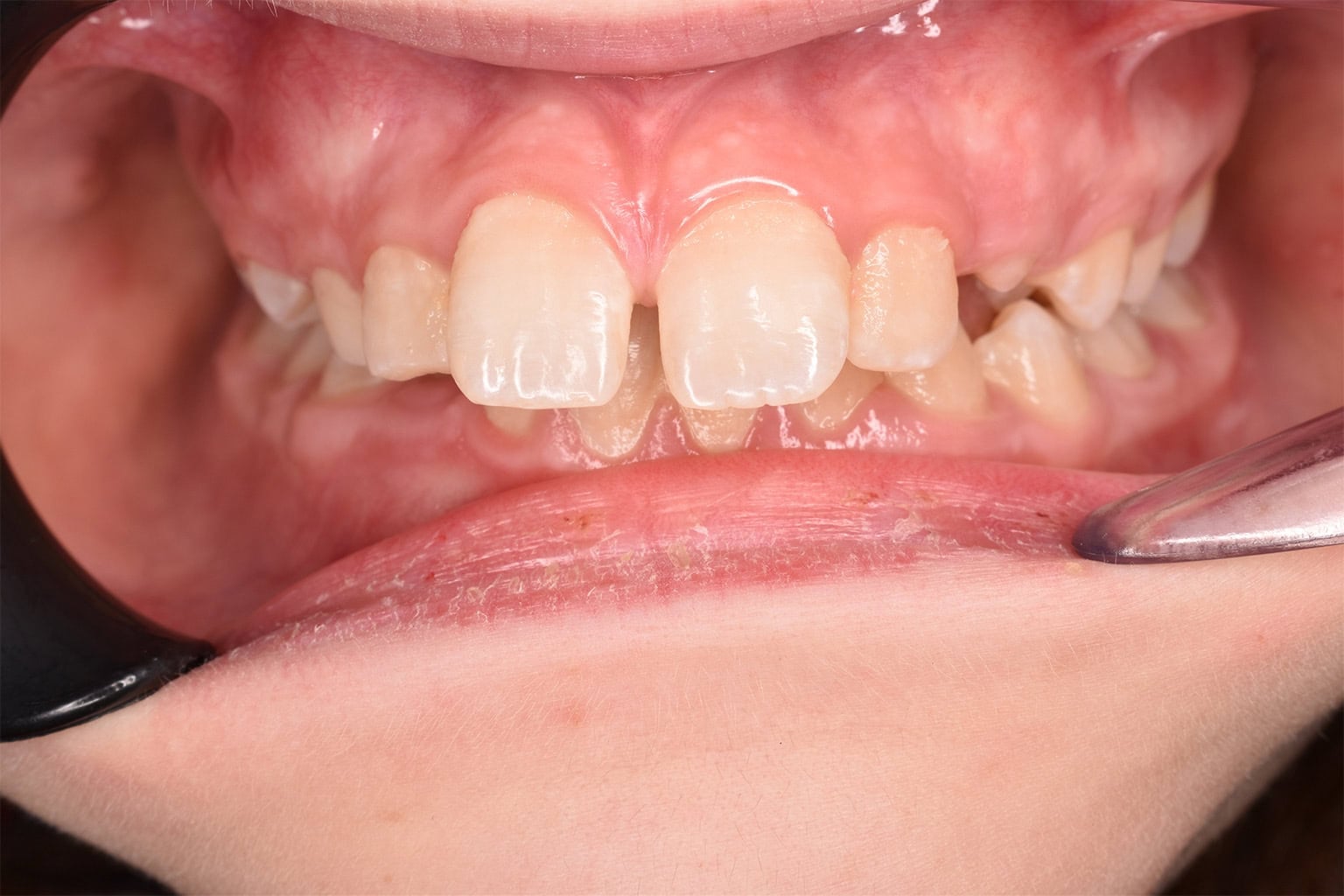
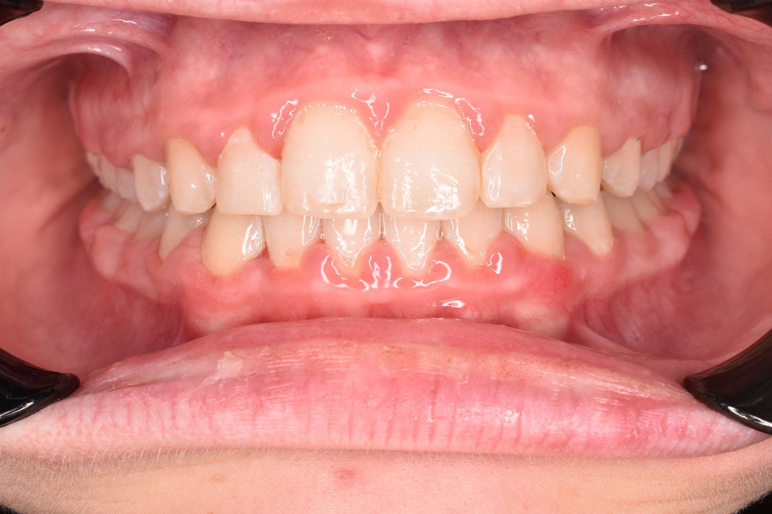
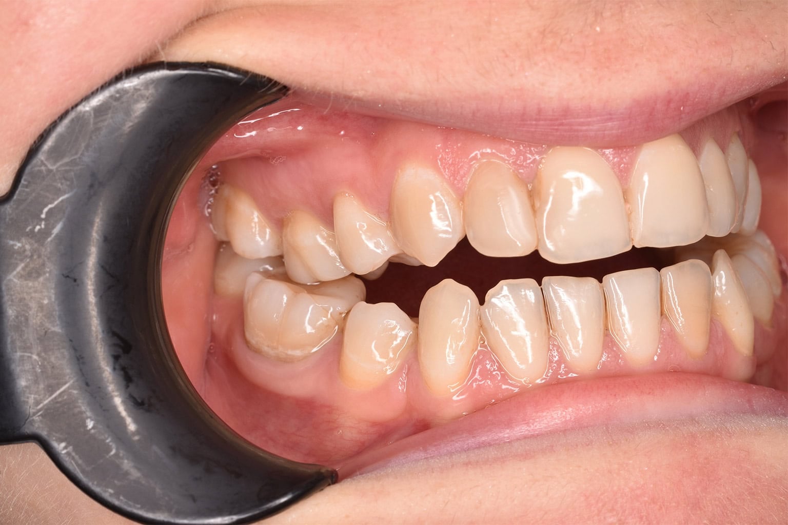
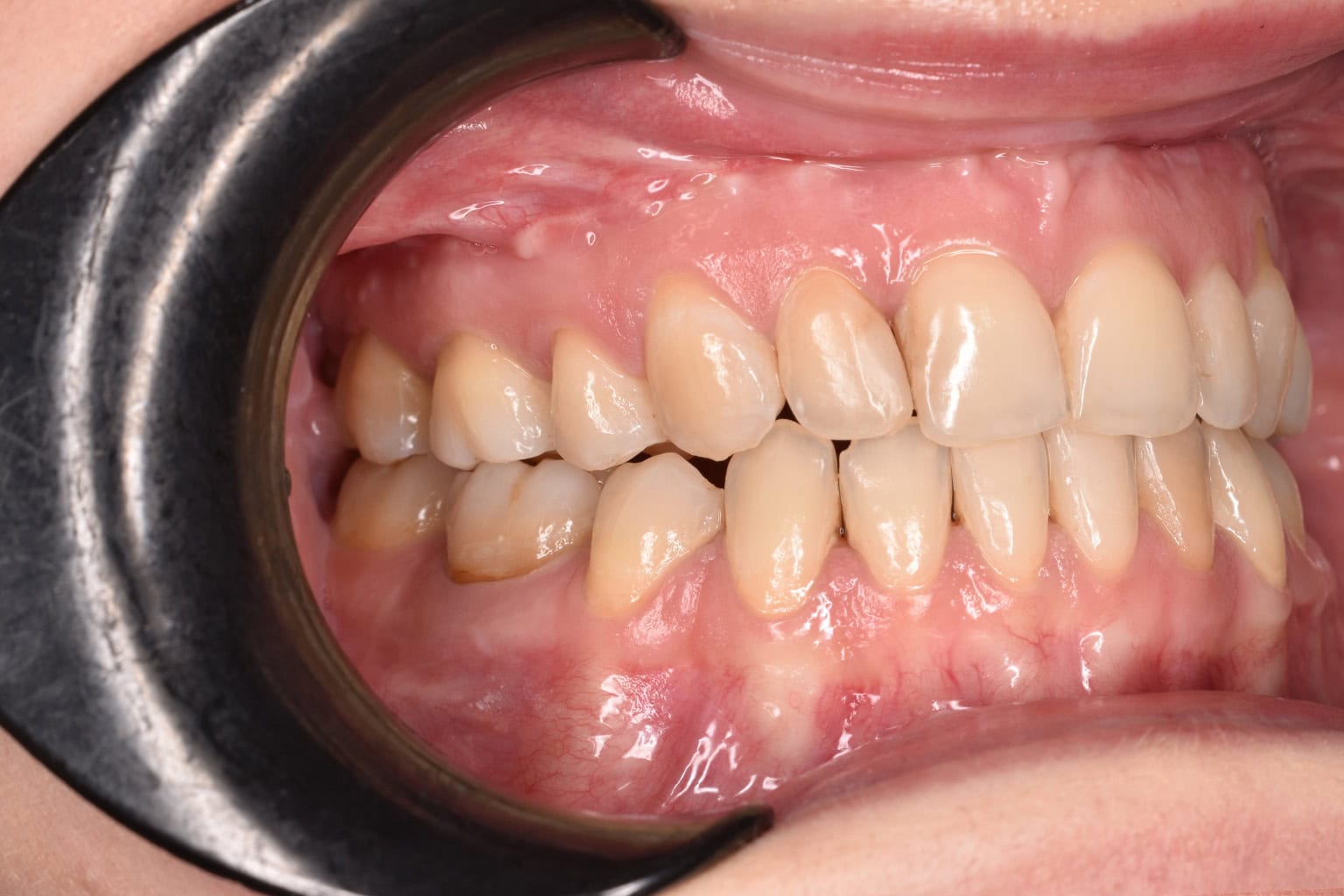
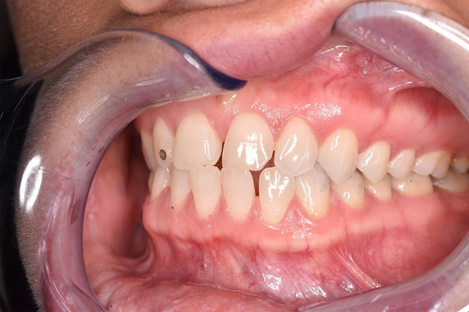
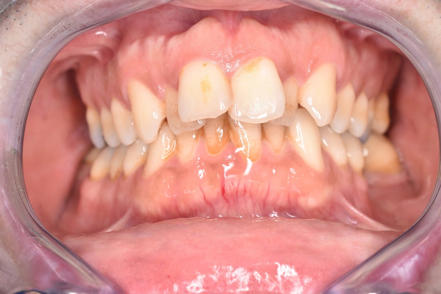
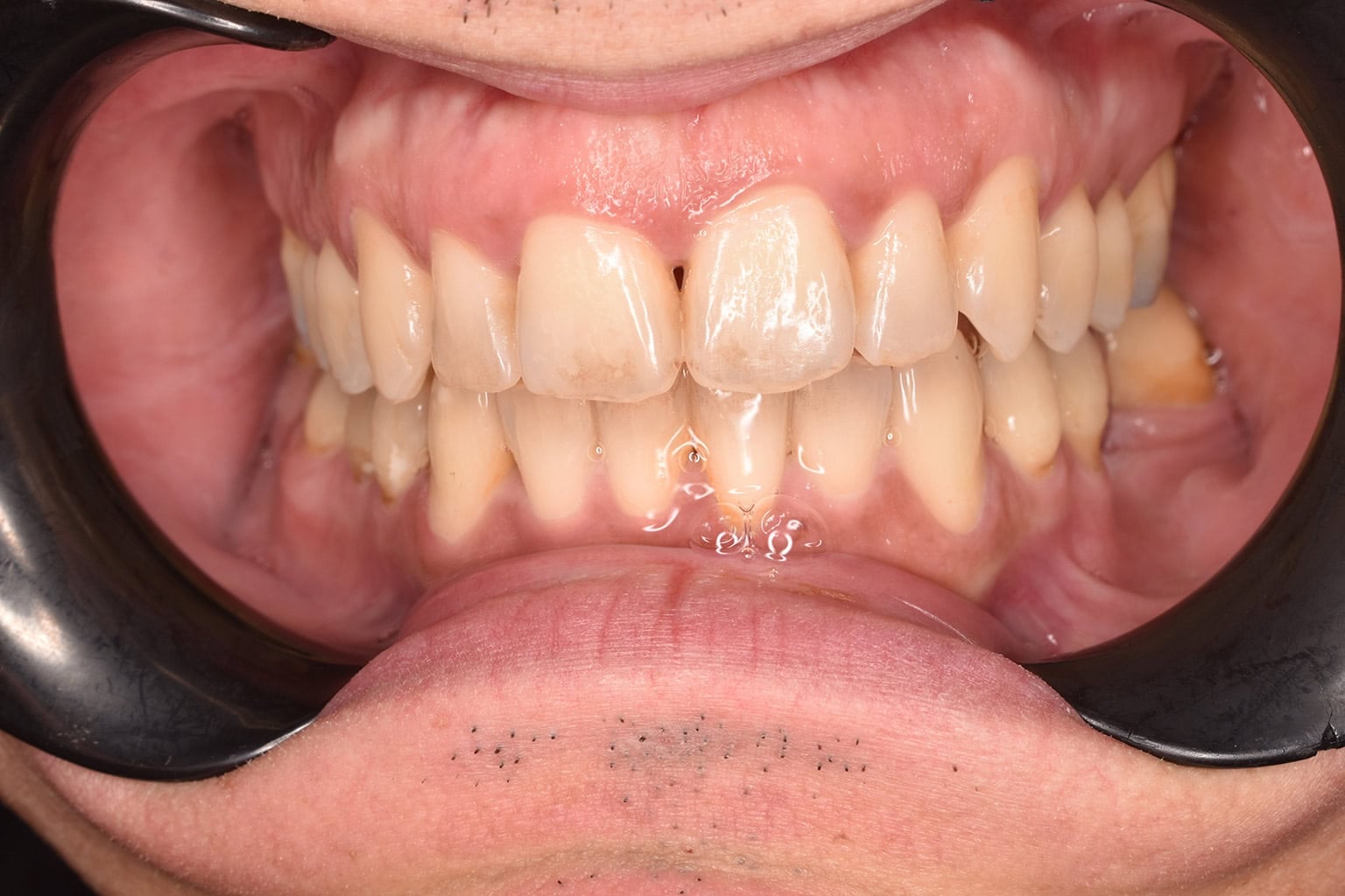
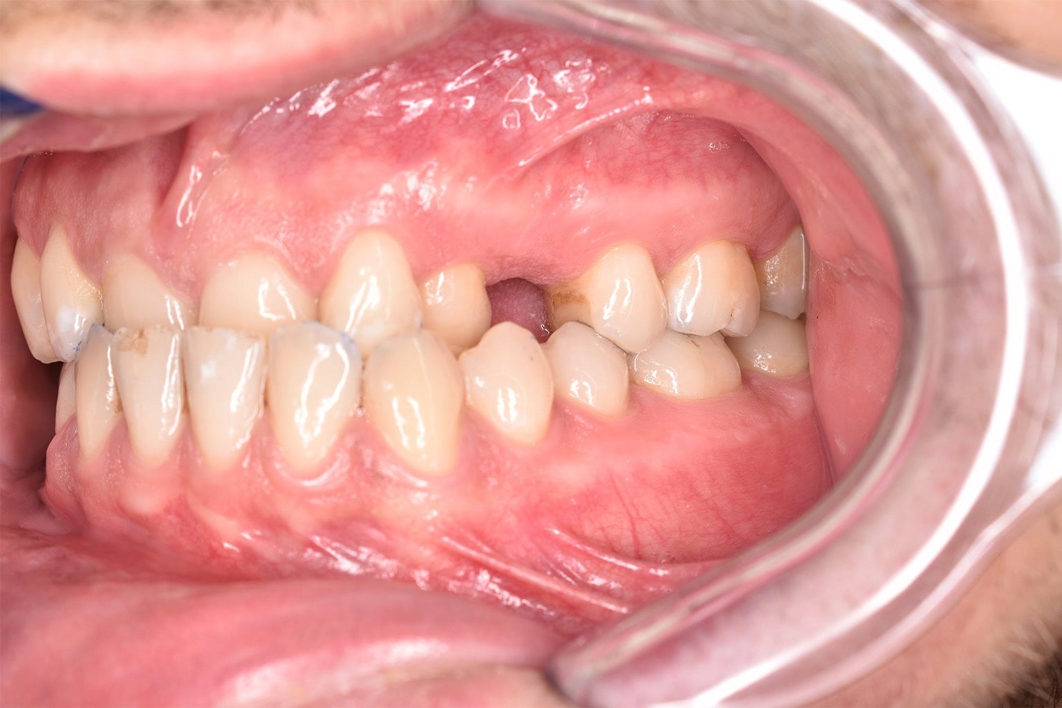
Vorher-Nachher-Ergebnisse
Echte Ergebnisse. Echte Menschen.
Jede Behandlung bei TIEFBLAU Kieferorthopädie ist so individuell wie der Mensch dahinter. In unserer Vorher-Nachher-Galerie zeigen wir Ihnen echte Behandlungsergebnisse aus unserer Praxis in der Kölner Südstadt: Schonend erzielt, präzise geplant und mit dem Anspruch, den wir seit über 40 Jahren an jede Behandlung stellen.
Die Bilder geben Ihnen einen Eindruck davon, was moderne Kieferorthopädie leisten kann, ob bei Kindern, Jugendlichen oder Erwachsenen.

Der sichtbare Unterschied
Dokumentiert. Überzeugend. Nachhaltig.


















